症例報告 - Case report -
![]()
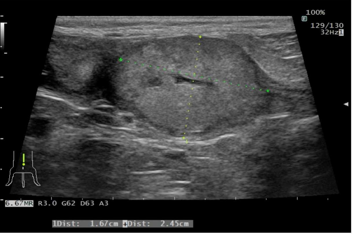
膀胱前立腺尿道を一括切除した尿路上皮癌の犬の1例
はじめに 犬の尿路上皮癌(移行上皮癌)は膀胱・前立腺・尿道に発生する腫瘍で最も多いタイプであり、全悪性腫瘍中の約2%を占める。治療方法には各種抗がん剤と非ステロイド性消炎剤(NSAIDs)を併用した内科療法や外科療法…
2026/03/03
![]()
鼻腔リンパ腫の猫の1例
はじめに 鼻腔リンパ腫は猫の鼻腔内腫瘍の中で最も多く約70%を占め、またリンパ腫の次に多いのは腺癌である。症状は片側性の鼻汁、鼻出血が最も多くその他顔面変形、眼球の突出、鼻閉音、努力呼吸、食欲不振などが認められる。治…
2026/01/02
![]()
口腔扁平上皮癌の猫:下顎3/4切除を実施した5例
はじめに 扁平上皮癌は猫の口腔悪性腫瘍で最も多く、約70%を占める。発生部位は顎骨、歯肉、口唇粘膜、舌などが多い。症状は腫瘍の増大に起因し、採食不良、削痩、出血、疼痛、悪臭、皮膚の自壊、呼吸困難などである。治療方法は…
2025/05/05
![]()
腎細胞癌の犬の1例
はじめに 犬の腎臓腫瘍は86%が悪性であり、腎細胞癌が最も多く、25%が間葉系腫瘍、5%が腎芽腫である。症状としては、体重減少、頻尿、活動性低下、嘔吐、食欲不振などの非特異的症状が多い。尿検査では血尿が50-100%…
2025/03/16
![]()
副腎皮質腺癌の犬の1例
はじめに 犬の副腎皮質腺癌は副腎に発生する腫瘍の代表的なタイプであり、ステロイドホルモンを過剰に産生する機能性腫瘍と、産生しない非機能性腫瘍に分類される。ステロイドホルモンを過剰に産生することで、多飲多尿や全身の脱毛…
2024/11/11
![]()
胃平滑筋腫の犬の1例
はじめに 胃平滑筋腫は胃の粘膜下で筋層という部位に発生する良性腫瘍である。良性ではあるが、胃の中での発生部位や大きさにより、食欲減退、嘔吐などの症状をしめす。今回慢性嘔吐が認められた胃平滑筋腫の犬において、筋腫のくり…
2024/04/03
![]()
胸腺腫に随伴した剥離性皮膚炎の猫の1例
はじめに 胸腺腫は猫の前縦隔領域に発生する代表的な腫瘍の一つである。症状としては腫瘍が大型になることによって、呼吸促拍、努力呼吸、食欲不振、顔面のむくみなどが認められる。また胸腺腫による腫瘍随伴症候群として猫では剝離…
2023/09/18
![]()
口腔メラノーマの犬の1例
はじめに 犬の口腔悪性腫瘍の中で、約35%がメラノーマであり最も発生率が高い。口腔メラノーマを発症しやすい犬種としては、コッカースパニエル、ダックスフント、プードル、ゴールデンレトリーバーなどが知られている。日本では…
2023/05/27
![]()
膀胱移行上皮癌の犬の1例
はじめに 犬の膀胱腫瘍の多くは悪性であり、その中でも移行上皮癌が80%と最も多い。症状としては血尿や頻尿、排尿困難など一般的な膀胱炎と同様の症状がみとめられる。病理学的悪性度にもよるが、一般的に根治は困難であり、周囲…
2023/03/04
![]()
肺腺癌の犬の1例
はじめに 犬の肺がんは比較的稀な腫瘍であり、発生率は全腫瘍の1%未満である。多く認められる症状には発咳、元気低下、体重減少、頻呼吸などがあるが、初期には無症状であり健康診断で偶発的に発見されることも多い。肺の1か所に限…
2023/01/16
![]()
猫の乳がんの1例「早期発見の重要性」
はじめに 猫に発生する悪性腫瘍の中で最も多い腫瘍が乳がんである。猫の乳腺腫瘍は90%以上が悪性であり、良性乳腺腫瘍が多い犬とは大きく異なる。また猫の乳がんの悪性度は高く、初期からリンパ節転移や肺転移を認める症例も多い…
2022/11/28
![]()
脾臓血管肉腫の犬の1例
はじめに 犬の脾臓腫瘍の約50%は悪性であり、悪性腫瘍のうち約50%が血管肉腫である。脾臓の血管肉腫で多く認められる症状には、「急な元気消失、呼びかけに反応が薄い、起立できない、ふらつき」などがありこれらは、脾臓血管…
2022/11/06
![]()
猫の小腸腺癌の1例
はじめに 猫の小腸腺癌は腸腫瘍の約1/3を占め、リンパ腫に次いで2番目に多い悪性腫瘍である。主な症状には嘔吐、下痢、食欲不振や貧血がある。また転移率は高く50~70%で所属リンパ節や肝臓、肺、腹膜に転移が認められ、根…
2022/09/25
![]()
尾側顎骨切除を実施した扁平上皮癌の犬の1例
はじめに 犬の口腔悪性腫瘍において扁平上皮癌はメラノーマについで2番目に多い腫瘍である。特徴としては局所浸潤性が強く、骨浸潤が高率で起こり、腫瘍により採食困難や嚥下障害などが起こり衰弱する経過をたどる。一方遠隔転移率…
2022/09/12
![]()
猫の消化器型リンパ腫(LGLリンパ腫)の1例
はじめに 猫の消化管に発生する腫瘍ではリンパ腫が最も多く約50%を占める。猫の消化器型リンパ腫は大細胞性と小細胞性に分類されるが、特殊なタイプとして大顆粒リンパ球性リンパ腫(LGLリンパ腫)がある。LGLリンパ腫は小…
2022/08/14
![]()
肛門嚢アポクリン腺癌の犬の1例
はじめに 肛門嚢アポクリン腺癌は犬の肛門嚢(肛門腺)周囲に発生する代表的な悪性腫瘍の一つである。未去勢のオス犬に多い肛門周囲腺腫は肛門周囲の皮膚表面に盛り上がって発生することが多いが、肛門嚢アポクリン腺癌は肛門嚢が位…
2022/06/05
![]()
多中心型リンパ腫の犬の1例
はじめに 多中心型リンパ腫は犬の造血器系腫瘍の中で最も多い腫瘍である。びまん性大細胞型B細胞性リンパ腫(DLBCL)は多中心型リンパ腫の60~70%を占める最も多いタイプで、犬のリンパ腫といえば、多くがこのタイプだと…
2022/05/24
![]()
軟部組織肉腫の犬の1例
はじめに 犬の四肢に発生する腫瘍として、軟部組織肉腫は比較的発生率が高い。挙動として、遠隔転移率は低いが、局所の再発率が比較的高いという性質を持つ。また通常は緩徐に進行し長期間で巨大な腫瘤を形成することもある。今回前…
2022/03/07
![]()
犬の肝細胞癌の1例
はじめに 犬の肝臓腫瘍には様々なタイプが発生するが、その多くは肝細胞癌であり約70%を占める。肝細胞癌は進行が比較的緩やかであり、無症状のことも多いため健康診断などで偶発的に発見されることが多い。進行すると肝臓全体に浸…
2022/02/03





















